Amerika’da 59 yaşındaki bir erkek, mastürbasyon sonrası ciddi bir sağlık sorunu yaşadı. Adam, kendi kendini tatmin ettikten sonra çenesinde sıkışma ve ellerinde karıncalanma hissederek ambulans çağırdı.
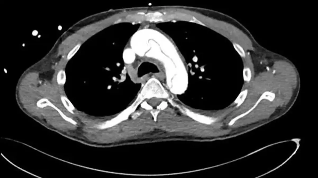
Hastaneye vardığında, doktorlar başlangıçta sepsisten şüphelendi. Ancak yapılan testler, aslında aort damarında bir yırtık olduğunu ortaya çıkardı. Bu durum, aort yetersizliği adı verilen ciddi bir kalp acil durumuna yol açtı.
Aort diseksiyonu olarak bilinen bu durum, genellikle göğüs veya sırtta keskin bir ağrı, nefes darlığı ve aşırı terleme gibi belirtilerle kendini gösterir. Ancak bu vakada, hasta bu tipik belirtilerin hiçbirini yaşamadı. Bu durum, vakayı daha da ilginç ve tehlikeli hale getirdi.
Hastanın tıbbi geçmişinde yüksek tansiyon, nadir bir pankreatit türü ve kronik böbrek yetmezliği vardı. Ancak sağlık sorununu yaşamadan bir gün önce 5 kilometrelik bir koşu yapmıştı.
Hastaneye geldiğinde, aşırı düşük kan basıncı ve yavaş nabız tespit edildi. Ultrason taraması, aortun üst kısmında bir yırtık olduğunu gösterdi. Bu durum, acil açık kalp ameliyatı gerektiren hayati bir tehlike oluşturuyordu.
Adam, aort grefti değişimi ameliyatı geçirdi ve iyileştiği bildirildi. Ancak doktorlar, mastürbasyon ile aort yırtılması arasındaki bağlantının tam olarak anlaşılamadığını belirttiler. Kronik pankreatitin önemli bir risk faktörü olabileceğini düşünüyorlar.
Bu vaka, aort diseksiyonunun her zaman tipik belirtilerle ortaya çıkmayabileceğini gösteriyor. Doktorlar, ağrısız aort diseksiyonlarının nadir görüldüğünü ve genellikle daha yüksek ölüm riski taşıdığını vurguladılar.
Sonuç olarak, bu vaka tıp dünyasına önemli bir hatırlatma yapıyor: Sağlık sorunları her zaman beklenen şekilde ortaya çıkmayabilir ve her hastanın durumu dikkatle değerlendirilmelidir.
Dört duvar arasına sıkışan, bilgisayarla yaşayan, e-postalar ile boğuşan beyaz yakalıların dünyası.
